Quantra™ technologie

Standaardisatie van borstdichtheidsanalyse met machine learning.

Hologic Quantra™ technologie

    Overzicht

    Documenten

    Training

    Standaardiseer de analyse van borstdichtheid

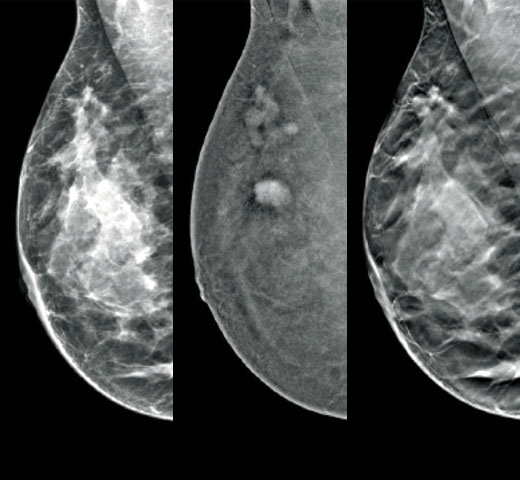
    Het is bekend dat een hogere borstdichtheid het risico van een vrouw op borstkanker vergroot.1 De behoefte aan nauwkeurige, objectieve analyses is daarom cruciaal. Aangedreven door machine learning analyseert Quantra-technologiesoftware zowel 2D™- als tomosynthesebeelden op verdeling en textuur van parenchymweefsel. Het deelt borsten in vier categorieën voor borstsamenstelling in, in overeenstemming met de richtlijnen van de American College of Radiology (ACR) BI-RADS Atlas 5e editie.2

    Betere risicovoorspelling

    Naast volume spelen het patroon en de textuur van fibroglandulair weefsel mogelijk net zo'n belangrijke rol bij de mammografische voorspelling van kankerrisico.3-5 Door de textuur en het patroon van de borst te analyseren en te categoriseren, kan onze technologie de nauwkeurige informatie leveren die u nodig hebt om consistentere en betrouwbaardere scorebepaling te verkrijgen en zelfverzekerd patiëntspecifieke screening te ontwerpen.

    Objectieve beoordeling

    Objectief machine-learningalgoritme dat de borstdichtheidscategorie toewijst op basis van analyse van de textuur en patronen van het borstweefsel.

    Standaardisatie

    Til de zorgstandaard op een hoger plan en standaardiseer de rapportage in de hele radiologiepraktijk.

    Soepeler patiënttraject

    Geeft dichtheid weer op het opnamewerkstation met het oog op patiëntbeheerprotocollen voor eventuele aanvullende beeldvorming.

    Illustratie van het zorgcontinuüm voor borstgezondheid met radiologie van Hologic

    Het tijdsvoordeel ontgrendelen

    Het zorgcontinuüm voor borstgezondheid biedt geïntegreerde solutions voor klinisch vertrouwen, workflowefficiëntie en patiëntenzorg met compassie. Geeft meer vrouwen meer tijd met betere gezondheid.

    Quantra-technologie maakt deel uit van de screening and diagnosis solution van Hologic.

    Ontwerpintentie en klinische prestaties

    Het objectieve algoritme van Quantra-software analyseert zowel 2D- als tomosynthesebeelden om uw analyse te ondersteunen door:

    • het wegnemen van subjectiviteit bij visuele beoordeling, waardoor consistentere en betrouwbaardere scores worden verkregen;*
    • de zorgstandaard op een hoger plan te tillen en rapportage te standaardiseren;
    • patiëntbeheerprotocollen voor aanvullende beeldvorming te faciliteren.
    Borstbeeldvormingsscans
    Vrouw bezoekt borstbeeldvormingsafdeling in ziekenhuis voor screening en diagnose en vraagt inlichtingen bij receptioniste

    Bezoek ons virtuele ziekenhuis

    Blader door onze portfolio van borstgezondheid solution in 3D. Zie hoe u het tijdsvoordeel kunt ontgrendelen binnen het gehele zorgcontinuüm voor borstgezondheid.

    Hologic AI-ondersteunde geïntegreerde software solutions

    Onze producten zijn ontworpen om in combinatie te werken en kunnen aan uw behoeften worden aangepast. Ons pakket van geïntegreerde, toekomstbestendige AI-solutions is ontwikkeld om vroege detectie en diagnostiek van borstkanker te verbeteren en patiëntenzorg op maat mogelijk te maken met geautomatiseerde beoordeling van borstdichtheid. Bespreek uw klinische behoeften met ons ervaren team om de beste solution te vinden die bij u past.

    Risicocategorieën8

    Bewijs. Inzicht. Samenwerking.

    Ons onderwijsportaal verbetert de patiëntenzorg door excellentie in onderwijs, communicatie van klinisch en wetenschappelijk bewijs en partnerschappen met de gezondheidszorggemeenschap.

    Insights

    Radiologen beoordelen tomosynthesemammografie op een scherm Radiologen beoordelen tomosynthesemammografie op een scherm

    Resultaten ToSyMa-studie, een 3D-toekomst voor borstkankerscreening

    Vrouwen zitten voor een mammografieapparaat met een medisch zorgverlener aan hun zijde. Vrouwen zitten voor een mammografieapparaat met een medisch zorgverlener aan hun zijde.

    Programma's voor borst- en baarmoederhalsscreening nu en in de toekomst

    Twee vrouwen zitten overdag buiten op een bankje Twee vrouwen zitten overdag buiten op een bankje

    Welkom op Hologic.nl

      *Scores zijn gebaseerd op ACR BI-RADS-categorieën, in overeenstemming met de herziene richtlijnen van de American College of Radiation (ACR) BI-RADS Atlas 5e editie. Dit houdt rekening met patroon en textuur, vergeleken met volume, bij het bepalen van de dichtheid.
      **Gebaseerd op 8 uur beeldinterpretatietijd per dag.
      1. Rafferty EA, Durand MA, Conant EF, et al. Breast Cancer Screening Using Tomosynthesis and Digital Mammography in Dense and Nondense Breasts. JAMA. 2016 Apr 26;315(16):1784-6.
      2. ACR BI-RADS Atlas, 5e editie. 2013 Beschikbaar op - https://www.acr.org/Clinical-Resources/Reporting-and-Data-Systems/Bi-Rads - (Geraadpleegd in: nov. 2019)
      3. Zuley M, Guo B, Catullo V, et al. “Comparison of Two-dimensional Synthesized Mammograms versus Original Digital Mammograms Alone and in Combination with Tomosynthesis Images.” Radiology. 2014 Jun;271(3):664-71. Epub 2014 Jan 21
      4. Durand M, Raghu M, Geisel J, et al. “Synthesized 2D Mammography + Tomosynthesis: Can We See Clearly?” (paper gepresenteerd op de jaarvergadering van de Radiological Society of North America, Chicago, Illinois, december 2015).
      5. Choi J, Han B, Ko E, et al. “Comparison with Two-Dimensional Synthetic Mammography Reconstructed from Digital Breast Tomosynthesis and Full Field Digital Mammography for the Detection of T1 Breast Cancer.” European Radiology. 2016 Aug;26(8):2538-46. Epub dec. 2015.
      6. Hologic gegevens in bestand: DHM-08611 Rev 006.
      7. Gegevens in bestand: Clinical Study Report CSR-00116 Rev 004.
      8. Borstsamenstellingscategorieën zoals omschreven in ACR BI-RADS Atlas.

       

      Veiligheidsinformatie

      Gebruiksaanwijzingen

      2797

      Hologic BV, Da Vincilaan 5, 1930 Zaventem, Belgium.

      Nummer van aanmeldingsinstantie indien van toepassing